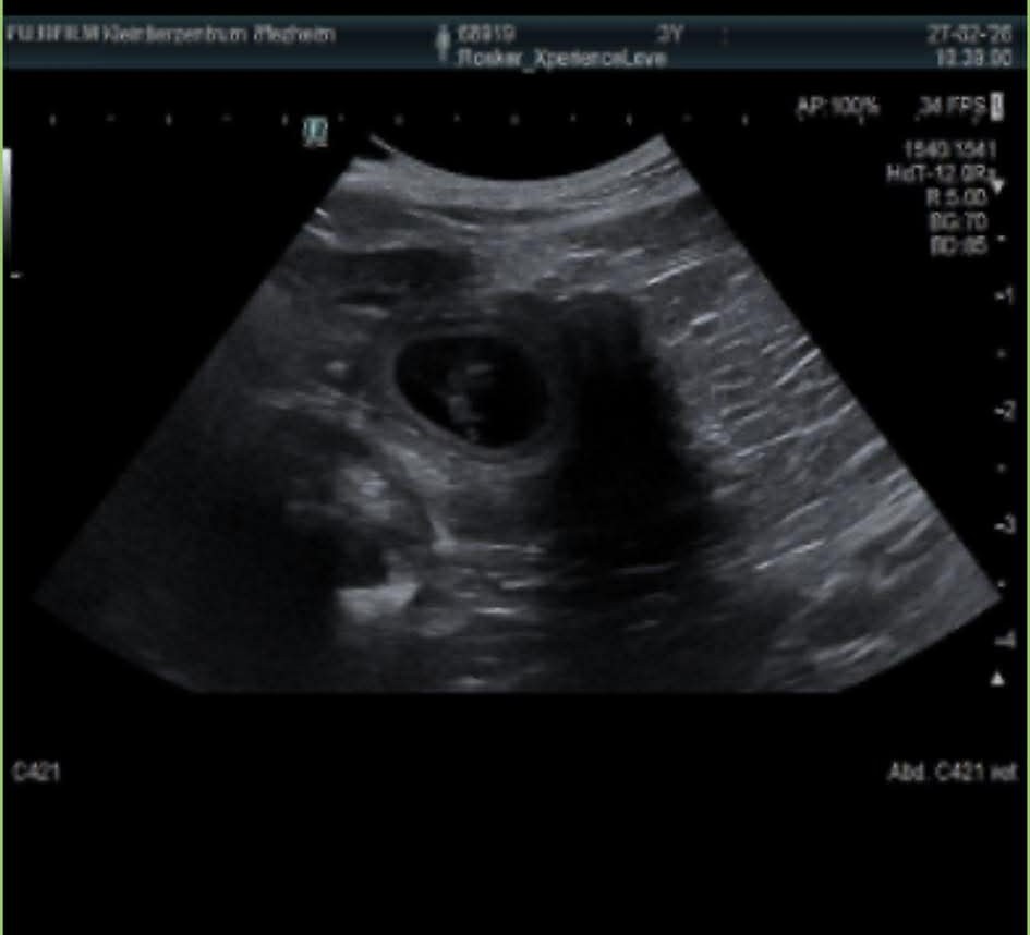
4. März 2026KommentarnavigationZurückVorheriger Beitrag:Vivi wurde am 5.2 von Jake (Plainfire‘s I‘m On Fire) gedeckt.Ähnliche BeiträgeVivi wurde am 5.2 von Jake (Plainfire‘s I‘m On Fire) gedeckt.9. Februar 2026Vivi ist läufig und soll Anfang Februar gedeckt werden26. Januar 2026Das Jahr 2026 fängt gut an. Wir gratulieren Zorro zum Titel „Deutscher Champion (VDH)“7. Januar 2026