Zum Inhalt springen
Ashes of St. Helens
Zucht von Flatcoated Retriever und English Cocker Spaniel
Ashes of St. Helens
  • Hunde
    • Unsere English Cocker Spaniel
    • Unsere Flatcoated Retriever
  • Zucht
    • Zucht English Cocker Spaniel
      • C-Wurf (12.07.2024)
      • B-Wurf (25.04.2022)
      • A-Wurf (01.09.2018)
    • Zucht Flatcoated Retriever
      • D2-Wurf (07.04.2026)
      • C2-Wurf (30.10.2025)
      • B2-Wurf (26.06.2025)
      • A2-Wurf (03.11.2024)
      • Z-Wurf (06.11.2023)
      • Y-Wurf (13.06.2023)
      • X-Wurf (18.01.2023)
      • W-Wurf (02.12.2022)
      • V-Wurf (04.10.2022)
      • U-Wurf (04.12.2021)
      • T-Wurf (11.11.2020)
      • S-Wurf (10.05.2020)
      • R-Wurf (15.06.2019)
      • Q-Wurf (04.02.2019)
  • Neuigkeiten
  • Veteranen
  • Memorial
  • Kontakt
Facebook page opens in new window
  • Hunde
    • Unsere English Cocker Spaniel
    • Unsere Flatcoated Retriever
  • Zucht
    • Zucht English Cocker Spaniel
      • C-Wurf (12.07.2024)
      • B-Wurf (25.04.2022)
      • A-Wurf (01.09.2018)
    • Zucht Flatcoated Retriever
      • D2-Wurf (07.04.2026)
      • C2-Wurf (30.10.2025)
      • B2-Wurf (26.06.2025)
      • A2-Wurf (03.11.2024)
      • Z-Wurf (06.11.2023)
      • Y-Wurf (13.06.2023)
      • X-Wurf (18.01.2023)
      • W-Wurf (02.12.2022)
      • V-Wurf (04.10.2022)
      • U-Wurf (04.12.2021)
      • T-Wurf (11.11.2020)
      • S-Wurf (10.05.2020)
      • R-Wurf (15.06.2019)
      • Q-Wurf (04.02.2019)
  • Neuigkeiten
  • Veteranen
  • Memorial
  • Kontakt

Tages-Archive: 4. März 2026

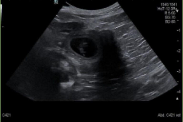
Der Ultraschall hat bestätigt: wir erwarten den D2-Wurf nach Ostern

4. März 2026
Weiterlesen...
Neuigkeiten
  • Am 7.4 hat Vivi ohne Probleme den D2-Wurf auf die Welt gebracht.
  • Der Ultraschall hat bestätigt: wir erwarten den D2-Wurf nach Ostern
  • Vivi wurde am 5.2 von Jake (Plainfire‘s I‘m On Fire) gedeckt.
  • Vivi ist läufig und soll Anfang Februar gedeckt werden
  • Das Jahr 2026 fängt gut an. Wir gratulieren Zorro zum Titel „Deutscher Champion (VDH)“
Vergangene Neuigkeiten
© Claudia Rosker
  • Impressum
  • Datenschutz & Cookie Einstellungen
  • Kontakt
Rechtliches
Go to Top